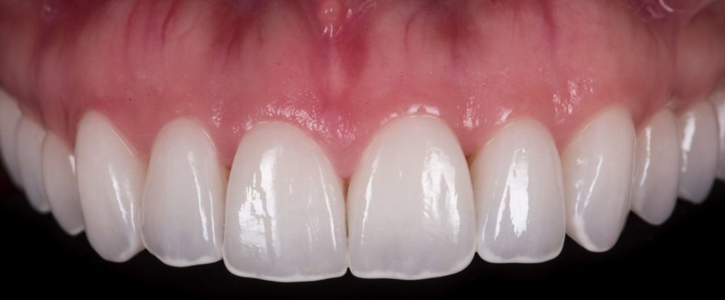
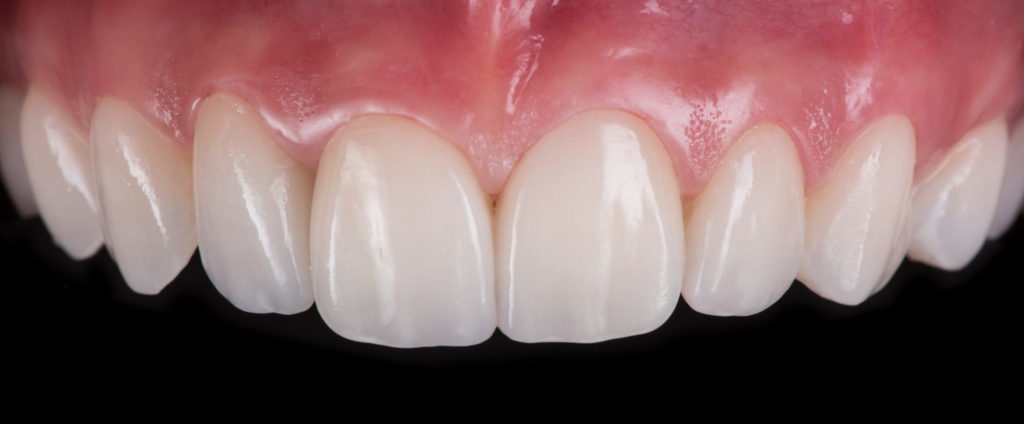
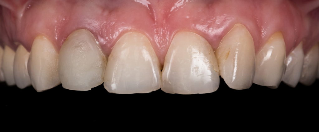
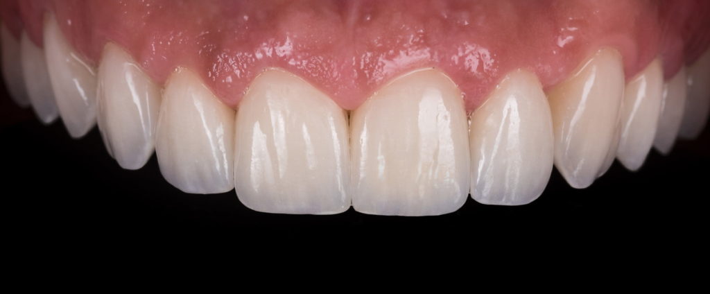
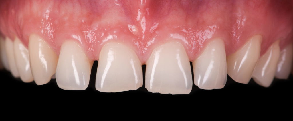
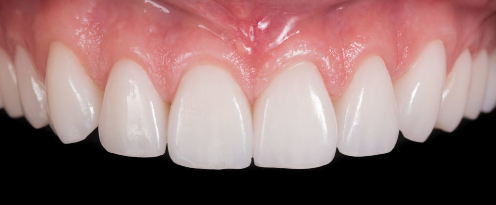
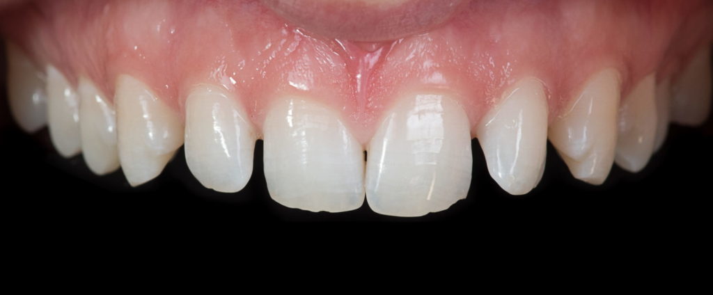
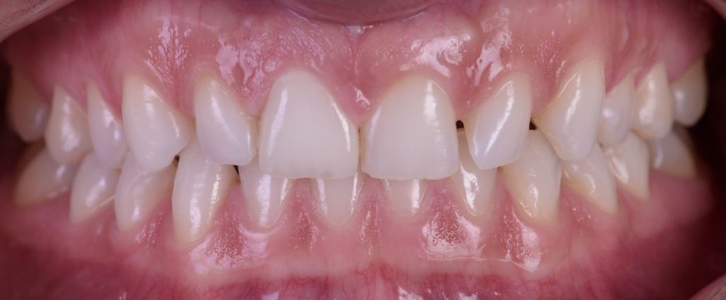
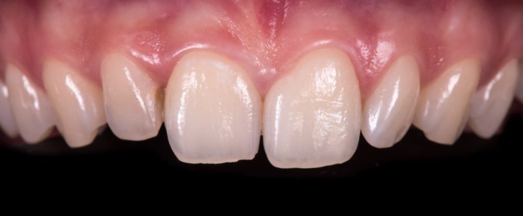
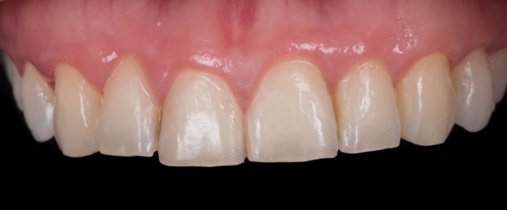
Najlepszą wizytówką Jesionowa Dental Clinic są uśmiechy naszych Pacjentów
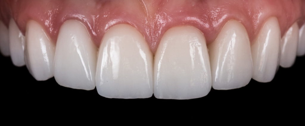
Innowacyjne urządzenia i technologie połączone z wiedzą specjalistów w dziedzinie stomatologii pozwalają nam na uzyskanie najlepszych efektów leczenia Pacjenta.
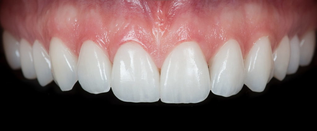
Innowacyjne urządzenia i technologie połączone z wiedzą specjalistów w dziedzinie stomatologii pozwalają nam na uzyskanie najlepszych efektów leczenia Pacjenta.