Na czym polega metoda All on 6 ?
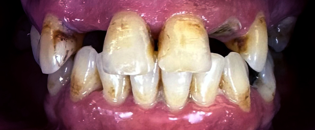
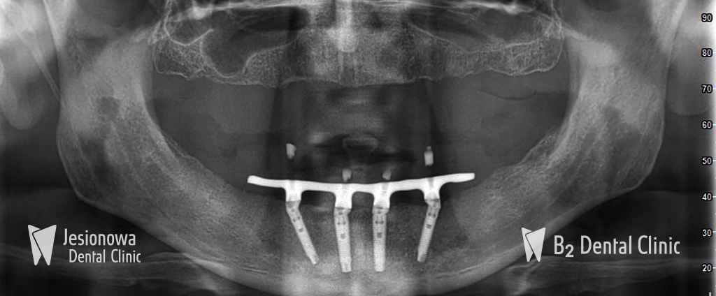
All-on-6 to metoda leczenia bezzębia polegająca na zastąpieniu brakujących zębów przy użyciu pojedynczego mostu mocowanego na stałe, obejmującego cały łuk zębowy przy użyciu 6 implantów zębowych i natychmiastowego ich obciążenia.
Dlaczego All-on-6 ??
Najtańsze rozwiązanie
Metoda All-on-6 wymaga zastosowania jedynie 6 implantów w celu zastąpienia 14 zębów. Wprowadzenie 6 implantów w szczęce zapewnia optymalne koszty oraz przewidywalność leczenia.
Brak zastosowania dodatkowych zabiegów
Zabieg podnoszenia zatok szczękowych przy zastosowaniu metody All-on-6 nie jest konieczny. Specjalne pochylenie 4 implantów zapewnia odpowiednią stabilizację w łuku zębowym oraz ominięcie zatok szczękowych.
Krótki czas wykonania
Dzięki zastosowaniu najnowszych rozwiązań stomatologii cyfrowej, szablonu chirurgicznego oraz tomografii 3D, czas zabiegu wynosi średnio 90 min.
Pełne dostosowanie do potrzeb Pacjenta
Ostateczna praca protetyczna może być: zdejmowana, przymocowana na stałe, wykonana z akrylu, cyrkonu lub porcelany na podbudowie metalowej. Dowiedz się więcej na temat mostów protetycznych
Etapy leczenia metodą All-on-6
Zapraszamy do zapoznania się z etapami
leczenia All-on-6 poniżej.
1. Konsultacja z ekspertem
Podczas pierwszej wizyty lekarz implantolog wykonuje badanie wewnątrzustne, tomografię komputerową (CBCT) podczas której, weryfikuje ilość oraz jakość kości wyrostka zębodołowego. Jeśli z powodu znacznej atrofii wykonanie metody All-on-6 okaże się niemożliwe zaproponujemy inne rozwiązanie. Konsultacja taka kończy się wykonaniem planu leczenia wraz z kosztorysem.
2. Planowanie przebiegu leczenia
Na tym etapie rozpoczynamy proces planowania leczenia. Spotkasz się z lekarzem implantologiem oraz zostanie przeprowadzona pełna higienizacja Twoich zębów. Ponad to, pobierzemy cyfrowy wycisk jamy ustnej, wykonamy niezbędne fotografie oraz wykonamy pełną diagnostykę w celu przygotowania szablonów chirurgicznych i prac tymczasowych.
3. Wszczepienie implantów i praca protetyczna
Na tym etapie wszczepiamy 6 implantów do których zostanie przymocowana stała praca protetyczna. Zabieg jest całkowicie bezbolesny, a jego czas trwania wynosi średnio 90 min (bez dodatkowych zabiegów regeneracyjnych kości).
4. Protetyka
Twoja praca protetyczna zostanie dostosowana i wykończona przez naszych techników stomatologicznych jeszcze tego samego dnia (w przypadku mostu tymczasowego).
5. Oddanie pracy
Ostatnim etapem 1 dniowej wizyty jest założenie Twoich nowych zębów i przymocowanie ich do implantów. Odzyskasz zdrowy i piękny uśmiech w tym samym dniu (dotyczy mostów tymczasowych).
Double All on 4
All on 6 + All on 4
All on 6 + All on 4
All on 6 + All on 4
All on 4
All on 6 + All on 4
Double All on 4
All on 6 + All on 4
All on 6 + All on 4
All on 6 + All on 4
All on 4
All on 6 + All on 4
Chcesz dowiedzieć się więcej na temat metody All-on-6?
Masz pytanie?
Skontaktuj się z nami.
Pracownicy naszej recepcji chętnie udzielą odpowiedzi na wszystkie Twoje pytania.
Godziny otwarcia:
Poniedziałek:
09:00-20:00
Wtorek:
09:00-20:00
Środa:
09:00-20:00
Czwartek:
09:00-20:00
Piątek:
09:00-20:00
Sobota:
Zamknięte
Niedziela:
Zamknięte

